削って詰める治療を
終わりにしたい
一度むし歯になってしまうと、再治療を繰り返し将来的に抜歯になることがあります。小さいうちから予防しておくことで、生涯に渡り歯が長持ちします。
一昔前は、歯はむし歯になってから歯医者で改善するのが普通でした。今ではむし歯は予防できるという考えが主流です。むし歯になる前に歯医者に通ってむし歯を予防していくのです。永久歯をむし歯にさせないためには特に永久歯が生える前、生えた直後の予防が大切です。
お子さまの歯に関する
こんなお悩みはありませんか?
-
仕上げみがきを
嫌がる -
むし歯が
できやすい -
間食・
だらだら食べが
多い -
歯みがき習慣が
身につかない -
生えてきた
永久歯の色・形が
気になる -
歯並びが
少し乱れてきた -
歯ぎしりをしている
-
フッ素や予防ケアの
選び方が分からない
-
仕上げみがきを
嫌がる -
むし歯が
できやすい -
間食・
だらだら食べが
多い -
歯みがき習慣が
身につかない -
生えてきた
永久歯の色・形が
気になる -
歯並びが
少し乱れてきた -
歯ぎしりをしている
-
フッ素や予防ケアの
選び方が
分からない
CONTACT
上記のようなお悩みは
小児歯科治療で
治せます!
REASON
当院が選ばれる3つの理由
01
お子さまに寄り添った治療を
優しいお子さま好きの
ドクターが担当
歯科仙川に在籍している歯科医師は皆お子さま好きです。優しい経験豊富な歯科医師が担当いたします。安心してご相談ください。
02
安心して通える
お子さまのむし歯を
ゼロにする取り組み
お子さま一人ひとりの気持ちに寄り添い、不安を減らしながら、むし歯をつくらないための診療と予防を大切にしています。
03
確かな技術と知識
徹底的な痛みへの配慮
当院では「痛くない治療」を心がけ、さまざまな取り組みを行なっております。これまでに歯医者で痛い思いをしたことのあるお子さまも一度ご相談ください。
小児歯科治療を
ご検討の方には
カウンセリングを
実施しております
当院では、お子さまの歯科治療に関するご相談を無料で行っております。お口や歯並びに関するお悩みや歯科治療についての質問、治療を始める際の不安など、どんなことでもお気軽にご相談ください。ご相談の後、必ず当院で治療を受けなければならないわけではありませんので、安心してご利用いただけます。
- お口の状態や
歯並びを
診てほしい - 治療期間や
治療費に
ついて知りたい - メリットや
デメリットを
詳しく知りたい - 他院での
治療が不安で
相談したい
CONTACT
上記のようなお悩みは
小児歯科治療で
治せます!
MERIT
小児歯科治療には
メリットが
たくさんあります♪
-


お子さまの生涯
むし歯ゼロを
目指すことができる乳歯のうちから、むし歯の予防管理を行うことで生涯に渡りむし歯ゼロも不可能ではありません。生涯に渡り自分のはで過ごせる事は素晴らしいことです。
-


正しい歯みがき習慣が
身につく小児歯科では、年齢に合わせた歯みがきの方法や仕上げみがきのコツを丁寧に指導します。小さい頃から正しい習慣を身につけることで、大人になってもむし歯になりにくいお口の環境が育ちます。
-


むし歯を早期に
発見・予防できる小さなお子さまはむし歯の進行が早いため、早期のチェックがとても重要です。定期的に診ることで、むし歯を初期段階で見つけ、痛みが出る前に予防や治療ができます。
-


お子さまが
歯医者に慣れて
不安が少なくなる小児歯科では、お子さまが怖がらないよう優しい声かけや段階的な治療を行います。繰り返し通うことで「歯医者さんは怖くない」という経験を積み、将来の歯科治療にも安心して臨めるようになります。
PEDIATRIC ORTHODONTICS
小児矯正について
トレーニングと併用して治療していく
プレオルソ
マウスピース型の装置を使用し、お口のトレーニングを行いながら歯並びが悪くなる癖や原因にアプローチしていきます。お子さまが続けやすいように簡単な3つのステップで行っていただきます。矯正装置は装着時間が少なく、お口のトレーニングも数分間だけなので、無理なく理想的な歯並びが目指せます。
こんな
お口の癖を改善します♪
-
口呼吸
-
舌の正しい位置の習慣付け
-
唇を閉じる力の弱さ
CONTACT
上記のようなお悩みは
お子さま向けの矯正治療で
治せます!
ORTHODONTIC APPLIANCE
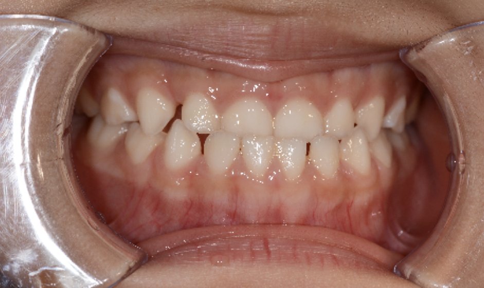
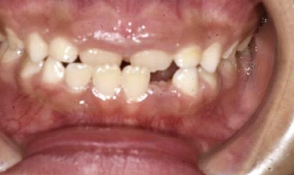
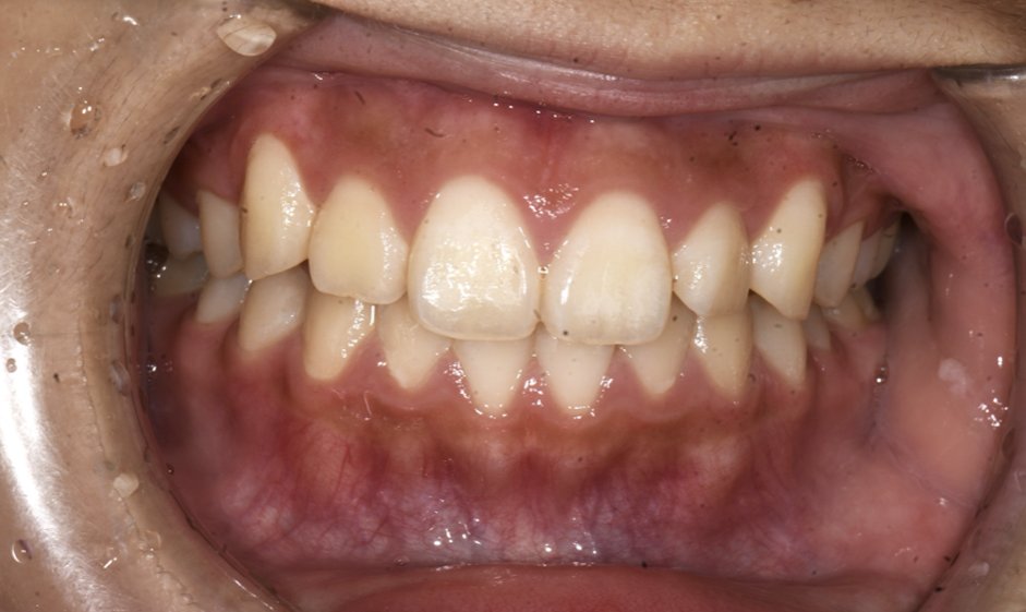
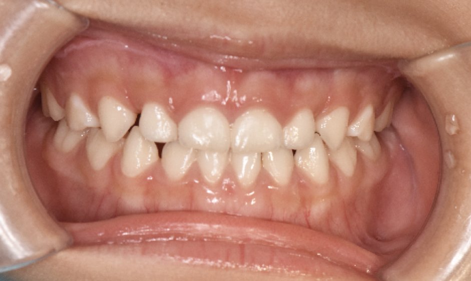
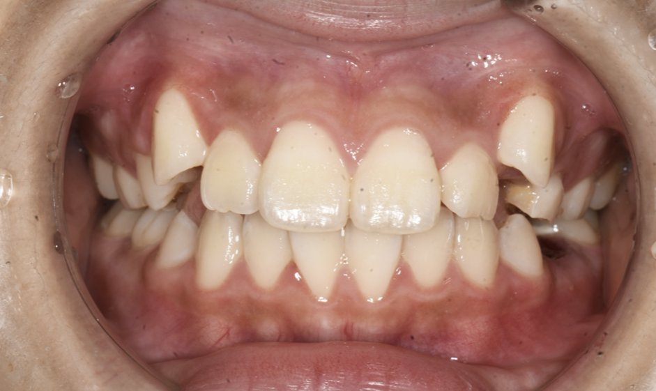
当院で改善できる
歯ならび例
-
ガタガタ
-
出っ歯
-
下顎が出ている
-
すきっ歯
-
噛み合わせの
ズレ -
噛み合わせが
深い -
口が閉じない
お子さまの歯並びの治療は、歯並びが悪くなる
原因の根本から改善することが大切です。
お子さまの歯並びの治療は、
歯並びが悪くなる原因の
原因の根本から改善することが
大切です
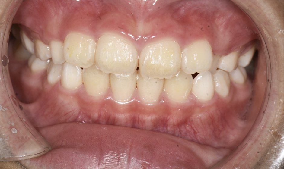
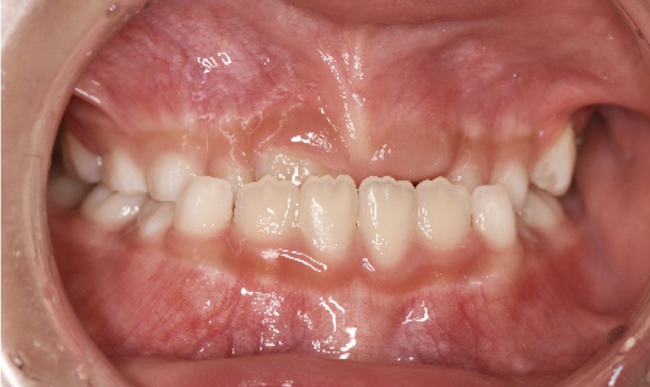
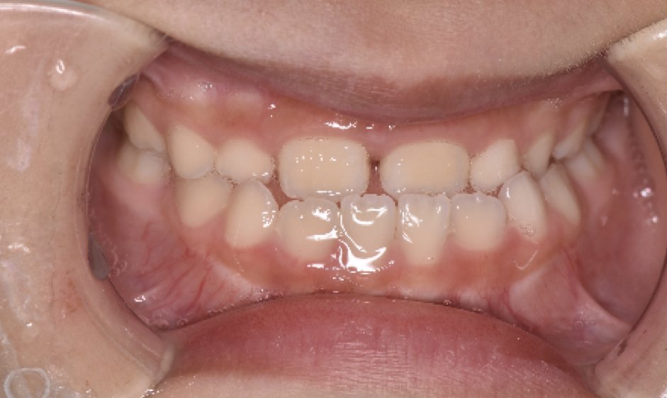
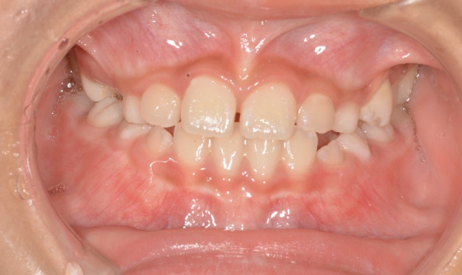
CASE
症例実績ご紹介
FLOW
小児歯科治療の流れ
-
1
ご予約
お子さまの状態に合わせてスムーズにご案内できるよう、事前のご予約をお願いしています。お電話やWEBから簡単にご予約いただけます。小児矯正に興味がある方はまずはお気軽に無料矯正相談をご利用ください。
-
2
受付・問診
ご来院後、受付にて問診票をご記入いただきます。現在のお悩みや普段の生活習慣、治療に対する不安などを丁寧にお伺いします。
-
3
治療計画の
ご説明お口の状態を確認したうえで、必要な治療内容や通院の目安をわかりやすくご説明します。保護者の方にもご納得いただけるよう、丁寧にお話しします。
-
4
治療開始
お子さまのペースに合わせて、無理のない範囲で治療を行います。怖がらないように声かけをしながら、できる限り痛みに配慮した治療を心がけています。
-
5
定期検診
治療が終わった後も、健康な状態を保つために定期検診をご案内しています。むし歯予防のためのフッ素塗布やクリーニング、成長に合わせたアドバイスを行います。
PRICE
治療費について
| 初診相談料 | 無料 |
|---|---|
| 精密検査 | 無料 |
| プレオルソ | 1装置につき 88,000円(税込) |
| 拡大床 | 1装置につき 110,000円(税込) |
| 調整料 | 3,300円/1回 (税込) |
Q&A
よくある質問
- どのような治療を行っていますか?
-
お子さまのむし歯治療、メインテナンス、矯正治療を主に行っております。
小さいうちからクリニックでメインテナンスを行うことで、大人になったときの虫歯、歯周病のリスクを下げることができます。
現在では乳歯の時期から予防管理を行うことで生涯に渡りむし歯ゼロも可能です。
- 子供は何歳から歯医者に通えますか?
-
0歳から通って頂けます。
最初の乳歯(下顎の前歯)は生後6ヶ月〜9ヶ月で生えてきます。最初の乳歯が生えてくるタイミングでご来院頂ければ、今後の歯ブラシの仕方、虫歯の予防の仕方、発育等をお話しさせて頂きます。
- 子供が初めて歯科検診を受けるのはいつ頃がよいですか?
-
最初の乳歯(下顎の前歯)が生えるタイミングがよいです。
生後6〜9ヶ月頃です。早いタイミングでご来院頂くことで虫歯の予防効果が高まります。
- 子供のフッ素塗布はどのくらいの頻度で行うのがよいですか?
また、何歳まで続けるべきですか? -
毎日の歯ブラシにもフッ素を使い、歯医者で3ヶ月に1回高濃度のフッ素を塗布することが虫歯の予防効果が高くおすすめです。
成人になってからもずっと続けるべきです。フッ素の量は年齢によって変わりますので、衛生士が指導致します。
- 子どもにもデンタルフロスは必要ですか
- はい。乳歯の時期から歯と歯の間が詰まってきたら、仕上げ磨きの時にフロスを使ってあげて下さい。
- むし歯は遺伝しますか?私がむし歯が多かったので心配です。
-
むし歯は感染症です。むし歯菌がお口の中に感染しなければむし歯になりません。
生まれたての赤ちゃんのお口の中にはむし歯菌はいません。お子さまがむし歯になる多くの原因が周りの大人のむし歯菌が赤ちゃんにうつることです。
歯の硬さや、唾液の性質などは遺伝しますのでむし歯のなりやすさは遺伝すると言えるかもしれません。
GREETING
ご挨拶
患者様へのメッセージ
大学院で小児歯科を専攻しています。お子さまの治療ならお任せ下さい。
略歴
- 日本大学歯学部 卒業
- 日本大学歯学部小児歯科学講座 所属
- 日本小児歯科学会会員
患者様へのメッセージ
どんな小さなことでもお気軽にご相談ください。
略歴
- 日本大学歯学部 卒業
- 東京慈恵会医科大学 歯科口腔外科 研修
- 日本大学歯学部 歯科麻酔学講座
- 日本歯科麻酔学会
- 日本有病者歯科医療学会
CLINIC
医院紹介
CONTACT
上記のようなお悩みは
小児歯科治療で
治せます!