インプラントの症例集
Case1.
![]() |
![]() |
|---|
| 主 訴 | 30年前に治療した部分が心配、 全て綺麗に新しくしたい |
|---|---|
| 治療期間 | 約1年 |
| 治療費 | インプラント2本、 オールセラミッククラウン12本 2,420,000円(税込) |
| 治療内容 | 右上の奥歯2本をインプラントで治療を行いました。 残りの古い被せ物を全て除去し仮歯を作成、 その後セラミックの型取りを行い、 セラミックをセットしました。 |
| 治療のリスク | 仮歯の間は噛み合わせに違和感を感じる場合が あります。 セラミックは稀に欠ける場合があります。 |
Case2.
![]() |
![]() |
|---|
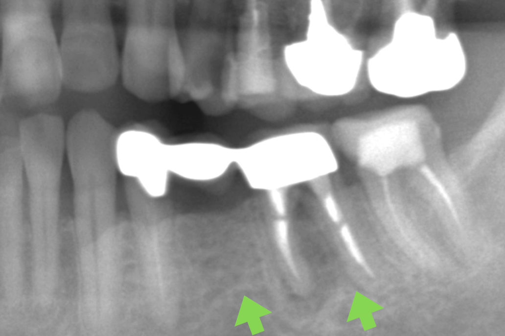
| 主 訴 | 歯がない部分を治療したい |
|---|---|
| 治療期間 | 約4ヶ月 |
| 治療費 | 合計836,000円(税込) |
| 治療内容 | 治療1回目 CT撮影にて顎の骨にインプラントが入ることを確認し、サージカルガイドの型取り 治療2回目 インプラントを入れる治療 治療3回目 縫合してある糸をとり、周りをクリーニング 治療4回目 インプラントに土台を立てる治療 治療5回目 上部構造(被せ物)の型取り 治療6回目 上部構造(被せ物)をセット |
| 治療のリスク | インプラントの手術の後は腫れ、 痛みが出ることがあります。 インプラントの上部構造のセラミックは 稀に欠けることがあります。 |
Case3.
![]() |
![]() |
|---|
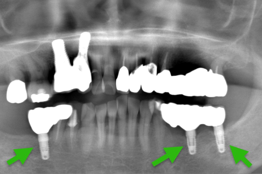
| 主 訴 | 歯がない部分を治療したい |
|---|---|
| 治療期間 | 約6ヶ月 |
| 治療費 | 合計3,278,000円(税込) |
| 治療内容 | 治療1回目 保存不可能な歯の抜歯 治療2回目 CT撮影にて顎の骨にインプラントが入ることを確認し、サージカルガイドの型取り 治療3回目 インプラントを入れる治療 治療4回目 縫合してある糸をとり、周りをクリーニング 治療5回目 インプラントに土台を立てる治療 治療6回目 上部構造(被せ物)の型取り 治療7回目 上部構造(被せ物)をセット |
| 治療のリスク | インプラントの手術の後は腫れ、 痛みが出ることがあり ます。 |
Case4.
![]() |
![]() |
|---|
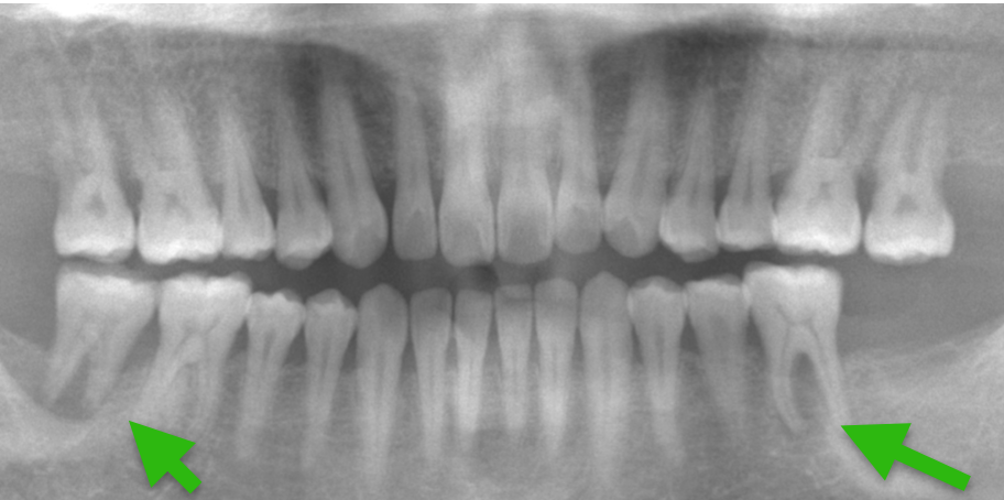
| 主 訴 | 左下が噛むと激痛 |
|---|---|
| 治療期間 | 約4ヶ月 |
| 治療費 | 合計957,000円(税込) |
| 治療内容 | 治療1回目 保存不可能な歯の抜歯 治療2回目 CT撮影にて顎の骨にインプラントが入ることを確認し、サージカルガイドの型取り 治療3回目 インプラントを入れる治療 治療4回目 縫合してある糸をとり、周りをクリーニング 治療5回目 インプラントに土台を立てる治療 治療6回目 上部構造(被せ物)の型取り 治療7回目 上部構造(被せ物)をセット |
| 治療のリスク | インプラントの手術の後は腫れ、 痛みが出ることがあり ます。 |
Case5.
![]() |
![]() |
|---|
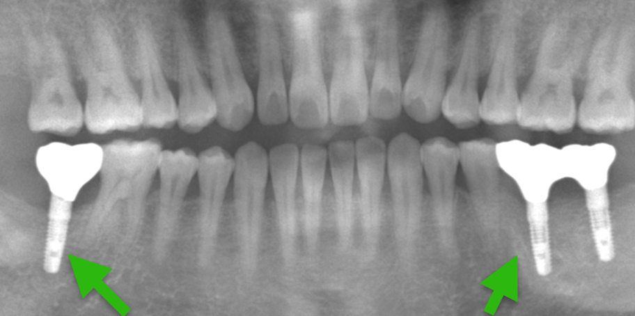
| 主 訴 | 歯が折れた |
|---|---|
| 治療期間 | 約4ヶ月 |
| 治療費 | 合計836,000円(税込) |
| 治療内容 | 治療1回目 保存不可能な歯の抜歯 治療2回目 CT撮影にて顎の骨にインプラントが入ることを確認し、サージカルガイドの型取り 治療3回目 インプラントを入れる治療 治療4回目 縫合してある糸をとり、周りをクリーニング 治療5回目 インプラントに土台を立てる治療 治療6回目 上部構造(被せ物)の型取り 治療7回目 上部構造(被せ物)をセット |
| 治療のリスク | インプラントの手術の後は腫れ、 痛みが出ることがあります。 インプラントの上部構造は稀に緩むことがあります。 |
Case6.
![]() |
![]() |
|---|
| 主 訴 | 歯がない部分を治療したい |
|---|---|
| 治療期間 | 約3ヶ月 |
| 治療費 | 合計462,000円(税込) |
| 治療内容 | 治療1回目 CT撮影にて顎の骨にインプラントが入ることを確認し、サージカルガイドの型取り 治療2回目 インプラントを入れる治療 治療3回目 縫合してある糸をとり、周りをクリーニング 治療4回目 インプラントに土台を立てる治療 治療5回目 上部構造(被せ物)の型取り 治療6回目 上部構造(被せ物)をセット |
| 治療のリスク | インプラントの手術の後は腫れ、 痛みが出ることがあります。 インプラントの上部構造は稀に緩むことがあります。 |
Case7.
![]() |
![]() |
|---|
| 主 訴 | 歯がグラグラ動く |
|---|---|
| 治療期間 | 約4ヶ月 |
| 治療費 | 合計462,000円(税込) |
| 治療内容 | 治療1回目 保存不可能な歯の抜歯 治療2回目 CT撮影にて顎の骨にインプラントが入ることを確認し、サージカルガイドの型取り 治療3回目 インプラントを入れる治療 治療4回目 縫合してある糸をとり、周りをクリーニング 治療5回目 インプラントに土台を立てる治療 治療6回目 上部構造(被せ物)の型取り 治療7回目 上部構造(被せ物)をセット |
| 治療のリスク | インプラントの手術の後は腫れ、 痛みが出ることがあります。 インプラントの上部構造は稀に緩むことがあります。 |
Case8.
![]() |
![]() |
|---|
| 主 訴 | 歯が取れた |
|---|---|
| 治療期間 | 約4ヶ月 |
| 治療費 | 合計517,000円(税込) |
| 治療内容 | 治療1回目 保存不可能な歯の抜歯 治療2回目 CT撮影にて顎の骨にインプラントが入ることを確認し、サージカルガイドの型取り 治療3回目 ソケットリフトで骨を増やしインプラントを入れる治療 治療4回目 縫合してある糸をとり、周りをクリーニング 治療5回目 インプラントに土台を立てる治療 治療6回目 上部構造(被せ物)の型取り 治療7回目 上部構造(被せ物)をセット |
| 治療のリスク | インプラントの手術の後は腫れ、 痛みが出ることがあります。 インプラントの上部構造は稀に緩むことがあります。 ソケットリフトの後は鼻に違和感がでる場合があります。 |
Case9.
![]() |
![]() |
|---|
| 主 訴 | 昔被せた部分がグラグラする |
|---|---|
| 治療期間 | 約4ヶ月 |
| 治療費 | 合計462,000円(税込) |
| 治療内容 | 治療1回目 保存不可能な歯の抜歯 治療2回目 CT撮影にて顎の骨にインプラントが入ることを確認し、サージカルガイドの型取り 治療3回目 インプラントを入れる治療 治療4回目 縫合してある糸をとり、周りをクリーニング 治療5回目 インプラントに土台を立てる治療 治療6回目 上部構造(被せ物)の型取り 治療7回目 上部構造(被せ物)をセット |
| 治療のリスク | インプラントの手術の後は腫れ、 痛みが出ることがあります。 インプラントの上部構造は稀に緩むことがあります。 |
Case10.
![]() |
![]() |
|---|
| 主 訴 | 奥で噛めない |
|---|---|
| 治療期間 | 約1年 |
| 治療費 | 836,000円(税込) 右上のインプラントのみの料金です。 |
| 治療内容 | 虫歯が大きく治療が困難な歯を抜歯しインプラント治療を行い、古い金属を外し、見た目も綺麗で長持ちするオールセラミッククラウンに変えました。 |
| 治療のリスク | インプラント治療は外科処置を伴うために、 治療後に腫れ、痛みが出ることがあります。 セラミックは稀にかける場合があります。 |
Case11.
![]() |
![]() |
|---|
| 主 訴 | 下の奥歯で噛めない、もっと美味しく食事をしたい |
|---|---|
| 治療期間 | 約6ヶ月 |
| 治療費 | 1,100,000円(税込) |
| 治療内容 | 残すことが難しい歯を抜歯し、 インプラント治療を行いました。 |
| 治療のリスク | インプラント治療は外科処置を伴うために、 治療後に腫れ、痛みが出ることがあります。 セラミックは稀にかける場合があります。 |
Case12.
![]() |
![]() |
|---|
| 主 訴 | 左下奥歯の被せ物が動く、咬むと痛い |
|---|---|
| 治療期間 | 6ヶ月(来院回数7回) |
| 治療費 | 957,000円(税込) |
| 治療内容 | 歯が根から割れており、 保存治療が不可能なため抜歯をしました。 傷が治るのを待ち、歯が2本ない部分に2本の インプラント治療を行いました。 |
| 治療のリスク | インプラントの手術の後は 腫れ、痛みが出ることがあります。 被せ物のセラミックは稀に割れることがあります。 |
Case13.
![]() |
![]() |
|---|
| 主 訴 | 歯がない部分を治療したい |
|---|---|
| 治療期間 | 約4ヶ月 |
| 治療費 | 913,000円(税込) |
| 治療内容 | 下の歯の欠損をインプラント、 上の歯の欠損を入れ歯で治療しました。 治療期間は4ヶ月、通院回数は6回ほどです。 |
| 治療のリスク | インプラントの手術の後は腫れ、 痛みが出ることがあります。 入れ歯は稀に欠ける事があります。 |
Case14.
![]() |
![]() |
|---|
| 主 訴 | 歯が割れた、奥で噛めるようになりたい |
|---|---|
| 治療期間 | 約4ヶ月 |
| 治療費 | インプラント3本、被せ物4本の合計: 1,551,000円(税込) |
| 治療内容 | 歯が割れている部分を抜歯し、歯が欠損している部分を インプラントで治療し奥歯での噛み合わせを 作りました。 |
| 治療のリスク | インプラントの手術の後は腫れ、痛みが 出ることがあります |
Case15.
![]() |
![]() |
|---|
| 主 訴 | 左右の奥歯がグラグラする、食事しづらい |
|---|---|
| 治療期間 | 約6ヶ月 |
| 治療費 | インプラント3本、被せ物4本の合計: 1,551,000円(税込) |
| 治療内容 | 歯が割れている部分を抜歯し、歯が欠損している部分を インプラントで治療し奥歯での噛み合わせを 作りました。 |
| 治療のリスク | インプラントの手術の後は腫れ、痛みが出ることが あります。抜歯後は腫れることがあります。 |
Case16.
![]() |
![]() |
|---|
| 主 訴 | 歯が大きく欠けた。噛めない。 |
|---|---|
| 治療期間 | 約4ヶ月 |
| 治療費 | 合計506,000円(税込) |
| 治療内容 | 虫歯が大きく保存不可なため抜歯を行い、 欠損した部分にインプラント治療を行った上で、 噛み合わせの回復を行いました。 |
| 治療のリスク | インプラントの手術の後は腫れ、痛みが出ることが あります。インプラントの上部構造は稀に緩むことが あります。 |
当院では、患者さまお一人おひとりのご希望を第一に最良の治療をご提案いたします。
是非一度ご相談をいただけますと幸いです。


































