透明で気付かれにくいインビザライン矯正
仙川駅徒歩3分の歯医者 | 歯科仙川
-
相談・シミュレーション
無 料 -
歯の精密検査
毎月限定10名 無料 -
デンタルローン月々
¥4,900~
ご契約まで費用は一切なし!
まずは無料相談へ
今だけ、通常価格¥35,000の精密検査が無料で受けられます。また、相談料やシミュレーションも無料のため、インビザラインを始める初期費用が一切かかりません。
インビザラインなら、
仙川駅から徒歩3分の「歯科仙川」
無料シミュレーション
実施中
iTero element〈最新型3D光学スキャナー導入〉
- 短時間でスキャンが可能
- お口の中の不快感が軽減
- 3Dイメージをその場で確認できる
- あなたピッタリのマウスピース作成
歯科仙川にはインビザライン専用の歯をスキャン(型取り)する機器『iTero』がございます。iTeroはお口の中の写真を撮るようなイメージでスキャン(型取り)できるため、従来の苦しい型取りが必要ありません。
インビザラインの特徴
世界シェアNo.1
安心と信頼のマウスピース
これまで1300万人を超える患者様がインビザラインを使用した治療を受けています。
※メーカーの選択にはご注意ください
マウスピースの種類によって、適応症例が異なる場合もございます。
透明で目立たない
薄く、透明なため目立たず、他の人に気づかれにくいです。「マスクをしている今のうちに」という方もいらっしゃいます。
マウスピースの着脱が
自在にできる
インビザラインは人前に出る時、お食事、歯磨きなどの際に、ご自身で自在に取り外しが可能です。そのため、口腔内を清潔に保てるという特徴があります。
通院回数が少ない
患者様ご自身で1週間〜2週間おきに新しいマウスピースに交換して頂きますので患者様の通院回数を少なくできます。お仕事や学校で忙しい方も気軽に治療を受けることが可能です。
インビザライン
他社マウスピースや
ワイヤーとの違い
形状比較
治療範囲
型取りの頻度
虫歯・歯周病
装着しやすさ
インビザライン
前歯だけ〜全体
幅広く対応
初回1回のみ
口腔内を清潔に保ちやすい
取り外ししやすい
他社製品
全体
2〜3ヶ月に1度
口腔内を清潔に保ちやすい
装着感が強く外しづらい
ワイヤー
前歯だけ〜全体
初回1回のみ
口腔内を清潔に保つのが難しい
自分で取り外せない
インビザラインは
どこでも
同じでは
ありません
インビザラインはマウスピースを交換する治療です。そのため、どこの医院で治療を受けても同じでなのでは?と思われる方もいるかもしれません。ところが、実際には「思ったような歯にならなかった..」「治療中に虫歯や歯周病になってしまった」などの患者さんの声があるのも事実です。当院では、矯正治療中も歯のクリーニングやメインテナンスに力を入れております。また、シミュレーションも無料で行っておりますので、治療前に自分の歯がどのように変わるのかを確認していただくことが可能です。マウスピース矯正なら仙川の歯医者「歯科仙川」までお気軽にご相談ください。
当院の
インビザライン
相談料・精密検査が無料
インビザラインは、治療を始めるまでに費用がかかります。当院では今ならインビザラインを始める前にかかる費用は0円。相談料・精密検査・シミュレーションを無料で受けていただけます。
虫歯治療や審美治療も可能
歯科仙川ではマウスピース矯正(インビザライン )以外にも虫歯、歯周病、噛み合わせの治療、審美歯科、親知らずの抜歯まで総合的に治療を行えます。虫歯の治療、親知らずの抜歯は他の歯科医院に通院して頂く必要はございません。
口臭、虫歯の予防
実は矯正治療中は、矯正装置で歯に歯ブラシが当たりづらくなり、虫歯・歯周病のリスクが高くなる場合があります。歯科仙川では治療中も定期的に衛生士によるメンテナンス(クリーニング)を行う事で虫歯・歯周病の発症の予防に努めています。
矯正に特化した設備
『iTero』というインビザライン専用の歯をスキャン(型取り)する機械に加え、セファログラムという矯正用のX線写真、CT画像を用いて精密な検査をすることが可能です。
急な腫れ、お痛みにも対応
当日予約OK!平日19時、土曜17時まで診療しています。京王線仙川駅から徒歩3分とアクセス抜群ですので、急なお痛みの場合もすぐにご連絡ください。
ご契約まで費用は一切なし!
まずは無料相談へ
今だけ、通常価格¥35,000の精密検査が無料で受けられます。また、相談料やシミュレーションも無料のため、インビザラインを始める初期費用が一切かかりません。
インビザラインなら、
仙川駅から徒歩3分の「歯科仙川」
矯正治療の流れ
-
カウンセリング・検査
お口の中の悩み、改善したい点などをお聞きします。お気軽にご相談ください。カウンセリングが終わると、レントゲン写真、CT撮影、口腔内写真、顔貌写真、型取りを行います。
-
診断・治療の説明
歯並びの状態、かみあわせ、虫歯、歯周病に関して検査させて頂いた結果、治療法をご説明致します。治療にかかる期間や具体的な費用も併せてご説明いたします。
-
治療開始
マウスピース(インビザライン)をお渡し致します。お渡ししたマウスピース(インビザライン)をご自身で1週間〜2週間間隔で交換して頂きます。
-
定期チェック・保定期間
治療中はお口に菌が溜まりやすいため、2〜6ヶ月おきに定期チェッククリーニングをお勧めし、治療終了後は後戻り防止目的でリテーナーという装置をご利用いただいています。
-
出っ歯
-
デコボコ
-
前歯が閉じない
-
中心のずれ
-
すきっ歯
-
噛み合わせが深い
-
受け口
対応可能な
歯並びケース
インビザライン矯正は多数の症例実績がありますので、出っ歯・すきっ歯・デコボコ歯など様々な歯並びのケースに対応が可能です。
※検査の結果対応できないケースもございます
料金表
-
相談・シミュレーション
無 料
-
歯の精密検査
毎月限定
10名無 料 -
デンタルローン月々
¥4,900~
| 検査・診断料 | 通常35,000円 無 料 |
|---|---|
| インビザライン フル |
795,000円(税込) |
| インビザライン ライト |
495,000円(税込) |
| 調整 クリーニング |
3,300円(税込) |
| 保定リテーナー |
55,000円(税込) |
デンタルローンなら
少額から始められます
前歯だけの部分矯正
月々 4,900円〜
(120回)
| 部 位 | 期 間 | 総 額 |
|---|---|---|
| 上顎または 下顎6本まで |
おおよそ半年 | 495,000円 |
※税込表示となります。
※部分矯正では対応が難しい症状や好ましい結果が得られない症状もありますので、精密な検査を行い、患者さまに最も適した治療方法をご提案いたします。
全ての歯を矯正
月々 8,000円〜
(120回)
| 部 位 | 期 間 | 総 額 |
|---|---|---|
| 上下顎 | おおよそ1年半 | 795,000円 |
※税込表示となります。
※部分矯正で十分対応が可能な場合もありますので、精密な検査を行い、患者さまに最も適した治療方法をご提案いたします。まずはご相談ください。
ドクター紹介
説明は分かりやすくを心がけ
ご理解いただいてから治療に
歯科仙川 院長 大橋 正樹
症例集
-


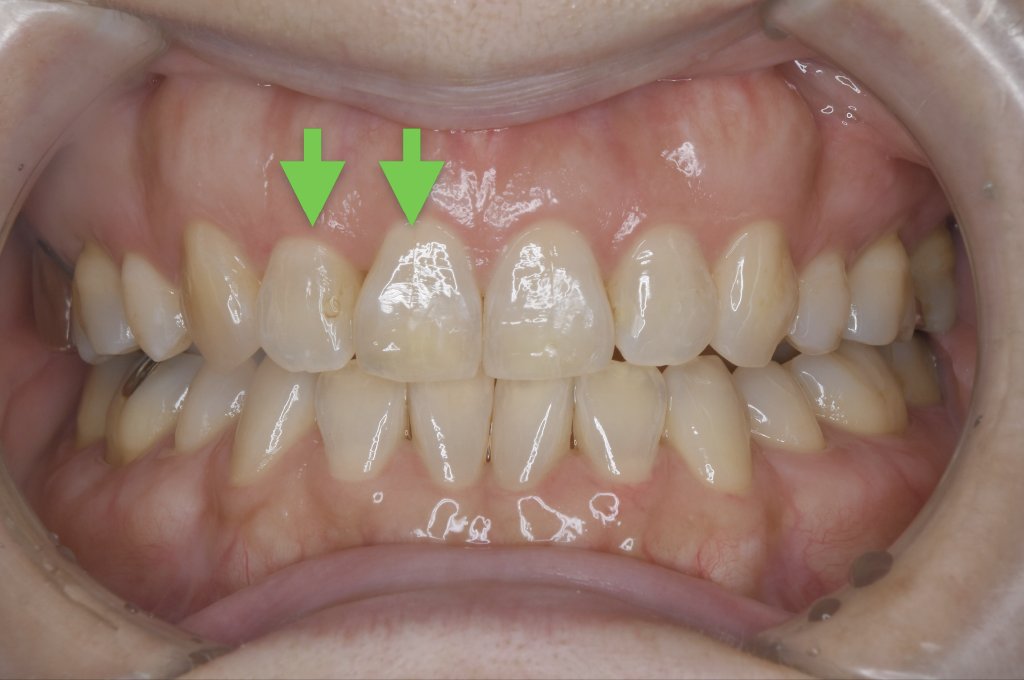
主 訴 上の前歯の歯並びが気になる 治療期間 約2ヶ月 治療費 495,000円(税込) 治療内容 インビザライン(マウスピース)で矯正を行い
歯並びを改善しました。治療上のリスク 矯正治療には知覚過敏、歯肉退縮の
リスクがあります。 -


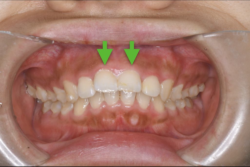
主 訴 上の前歯の歯並びが気になる 治療期間 約1年6ヶ月 治療費 795,000円(税込) 治療内容 インビザライン(マウスピース)で矯正を行い
歯並びを改善しました。治療上のリスク 矯正治療には知覚過敏、歯肉退縮の
リスクがあります。 -


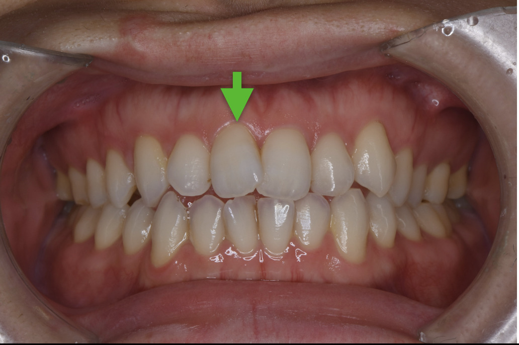
主 訴 上の前歯の歯並びが気になる 治療期間 約2ヶ月 治療費 495,000円(税込) 治療内容 インビザライン(マウスピース)で矯正を行い
歯並びを改善しました。治療上のリスク 矯正治療には知覚過敏、歯肉退縮の
リスクがあります。
よくある質問
-
できます。 インビザライン (マウスピース矯正)中にホームホワイトニングもして頂けます ホームホワイトニング用のジェルは2,200円(税込)でお買い求め頂けます。ホワイトニングの詳細は下記よりご覧ください。
-
歯は動かしたい方向に力をかけ続けると少しずつ移動します。マウスピースを定期的に交換し、動かしたい歯に力がかかり続ける事で歯が動いていきます。
-
20時間以上です、お食事と歯磨き以外の時間は装着していただくイメージです。
-
適応できる場合もございます、1度ご相談下さい。
ご契約まで費用は一切なし!
まずは無料相談へ
今だけ、通常価格¥35,000の精密検査が無料で受けられます。また、相談料やシミュレーションも無料のため、インビザラインを始める初期費用が一切かかりません。
インビザラインなら、
仙川駅から徒歩3分の「歯科仙川」



