メタルフリー治療の症例集
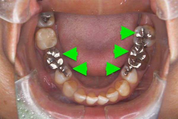
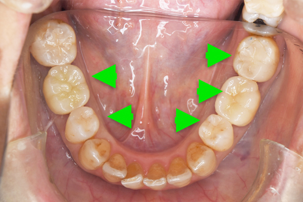
Case01.
![]() |
![]() |
|---|
| 主 訴 | 昔治療した古い金属を綺麗にしたい、 結婚式があるため急いで治療したい |
|---|---|
| 治療期間 | 約1ヶ月 |
| 治療費 | ハイブリッドインレー5本 220,000円(税込) |
| 治療内容 | 治療1回目 古い金属を除去し虫歯、感染歯質を 除去し、ハイブリッドインレーの型取り 治療2回目 ハイブリッドインレーをセット |
| 治療上のリスク | 金属を外した後にしみることがあります。 ハイブリッドインレーは変色する場合があります。 |
Case02.
![]() |
![]() |
|---|
| 主 訴 | 昔治療した銀歯の色が気になる |
|---|---|
| 治療期間 | 約1ヶ月 |
| 治療費 | セラミックインレー(emax)4本 330,000円(税込) |
| 治療内容 | 治療1回目 古い金属を除去し、虫歯、感染歯質を除去 治療2回目 痛み、しみる症状がないことを確認して セラミックインレーの型取り 治療3回目 セラミックインレーをセット |
| 治療上のリスク | 虫歯の治療中に一時的にしみたり、痛むことが あります。 |
Case03.
![]() |
![]() |
|---|
| 主 訴 | 奥歯が欠けてしみる、金属の見た目が気になる |
|---|---|
| 治療期間 | 約2ヶ月 |
| 治療費 | セラミックインレー(emax)2本、 オールセラミッククラウン2本 429,000円(税込) |
| 治療内容 | 治療1回目 左下奥歯の虫歯をとり、神経が残せる ことを確認 治療2回目 左下奥歯の2本のセラミックの型取り 治療3回目 左下にセラミックをセット 治療4回目 右下の古い金属を除去し中の虫歯、 感染歯質を除去 治療5回目 右下に痛み、症状がないことを確認し セラミックの型取り 治療6回目 右下にセラミックをセット 治療7回目 手前の歯の小さい金属を CR(歯科用の強化プラスチック)で治療 |
| 治療上のリスク | 虫歯の治療中に一時的にしみたり、 痛むことがあります。 |
Case04.
![]() |
![]() |
|---|
| 主 訴 | 人と会話している時に銀歯が見えないようにしたい |
|---|---|
| 治療期間 | 約2ヶ月 |
| 治療費 | セラミックインレー(emax)2本、 オールセラミッククラウン3本 561,000円(税込) |
| 治療内容 | 治療1回目 左下奥歯の古い金属を除去、虫歯、 感染歯質を除去 治療2回目 左下奥歯のセラミックの型取り 治療3回目 左下にセラミックをセット 治療4回目 右下の古い金属を除去し中の虫歯、 感染歯質を除去 治療5回目 右下に痛み、症状がないことを確認し セラミックの型取り 治療6回目 右下にセラミックをセット |
| 治療上のリスク | 治療中は噛み合わせに違和感を感じることがあります。 治療直後はしみる症状が出る場合があります。 |
Case05.
![]() |
![]() |
|---|
| 主 訴 | 古い金属が気になる |
|---|---|
| 治療期間 | 約1ヶ月 |
| 治療費 | セラミックインレー(emax)4本 330,000円(税込) |
| 治療内容 | 治療1回目 古い金属を除去し虫歯、感染歯質を除去 治療2回目 症状がないことを確認し、 セラミックインレーの型取り 治療3回目 セラミックインレーをセット |
| 治療上のリスク | セラミックは稀に欠けることがあります。 |
Case06.
![]() |
![]() |
|---|
| 主 訴 | 30年前に治療した部分が心配、 全て綺麗に新しくしたい |
|---|---|
| 治療期間 | 約1年 |
| 治療費 | インプラント2本、 オールセラミッククラウン12本 2,420,000円(税込) |
| 治療内容 | 右上の奥歯2本をインプラントで治療を行いました。 残りの古い被せ物を全て除去し仮歯を作成、 その後セラミックの型取りを行い、 セラミックをセットしました。 |
| 治療上のリスク | 仮歯の間は噛み合わせに違和感を感じる場合が あります。 セラミックは稀に欠ける場合があります。 |
Case07.
![]() |
![]() |
|---|
| 主 訴 | 金属の見ためを改善したい |
|---|---|
| 治療期間 | 約2ヶ月 |
| 治療費 | セラミックインレー2本、 オールセラミッククラウン2本 511,500円(税込) |
| 治療内容 | 古い金属を見た目が自然で、虫歯にもなりにくいセラミックで治療しました。 |
| 治療上のリスク | 仮歯の間は噛み合わせに違和感を感じる場合が あります。 セラミックは稀に欠ける場合があります。 |
当院では、患者さまお一人おひとりのご希望を第一に最良の治療をご提案いたします。
是非一度ご相談をいただけますと幸いです。
















